HOẠT ĐỘNG CỦA LÃNH ĐẠO BỘ
Thứ trưởng Bộ Y tế Nguyễn Thị Liên Hương tham dự chương trình khám bệnh và tặng quà tại xã An Châu, tỉnh Nghệ An
Chủ Nhật, ngày 16/11/2025 15:05Sáng 16/11/2025, tại xã An Châu, tỉnh Nghệ An, Trung ương Hội Thầy thuốc trẻ Việt Nam phối hợp cùng Sở Y tế Nghệ An và các bệnh viện, đơn vị đồng hành tổ chức Chương trình y tế “Yêu lấy mình - Vì...
Trường Đại học Kỹ thuật Y tế Hải Dương kỷ niệm 65 năm Truyền thống nhà trường
Thứ Bẩy, ngày 15/11/2025 14:55Ngày 15/11/2025, tại Hải Phòng, trường Đại học Kỹ thuật Y tế Hải Dương trang trọng tổ chức Lễ kỷ niệm 65 năm truyền thống nhà trường và 43 năm ngày Nhà giáo Việt Nam. Thứ trưởng Bộ Y tế...
Bộ trưởng Bộ Y tế Đào Hồng Lan gửi thư chúc mừng Thầy giáo, Cô giáo, cán bộ quản lý, người lao động thuộc các cơ sở đào tạo và các cơ sở thực hành đào tạo nhân lực lĩnh vực y tế
Thứ Bẩy, ngày 15/11/2025 04:48Nhân dịp kỷ niệm ngày Nhà giáo Việt Nam 20/11/2025, thay mặt Lãnh đạo Bộ Y tế, Bộ trưởng Bộ Y tế Đào Hồng Lan đã gửi thư chúc mừng Thầy giáo, Cô giáo, cán bộ quản lý, người lao động thuộc các cơ...
Thứ trưởng Thường trực Bộ Y tế Vũ Mạnh Hà dự Hội nghị ngành Nhãn khoa Việt Nam năm 2025
Thứ Bẩy, ngày 15/11/2025 01:52Sáng 14/11/2025, tại Hải Phòng diễn ra Hội nghị ngành Nhãn khoa Việt Nam năm 2025 và kỷ niệm 65 năm thành lập Hội Nhãn khoa Việt Nam. TS.BS Vũ Mạnh Hà, Ủy viên Dự khuyết Trung ương Đảng,...
Thứ trưởng Bộ Y tế Trần Văn Thuấn dự Hội nghị khoa học Ngoại khoa và Phẫu thuật nội soi toàn quốc 2025
Thứ Bẩy, ngày 15/11/2025 01:39Ngày 14/11/2025, tại tỉnh Thái Nguyên, Hội Ngoại khoa và Phẫu thuật nội soi Việt Nam tổ chức Hội nghị khoa học Ngoại khoa và Phẫu thuật nội soi toàn quốc 2025; Đại hội đại biểu Hội...
Thứ trưởng Bộ Y tế Nguyễn Tri Thức: Kết hợp kinh nghiệm quốc tế và thực tiễn tại Việt Nam tiến tới giảm tỷ lệ sinh non và tử vong sơ sinh
Thứ Sáu, ngày 14/11/2025 11:06Sáng 14/11/2025, tại Hà Nội, Bộ Y tế phối hợp với Quỹ Nhi đồng Liên hợp quốc (UNICEF) tổ chức Lễ hưởng ứng “Ngày Thế giới vì trẻ sinh non”, sự kiện nằm trong chuỗi hoạt động trong Tháng 11/2025,...
Bệnh viện Bỏng Quốc gia Lê Hữu Trác tổ chức Hội nghị tổng kết công tác chỉ đạo, hỗ trợ chuyên môn kỹ thuật năm 2025
Thứ Sáu, ngày 14/11/2025 10:59Sáng 14/11/2025, Bệnh viện Bỏng Quốc gia Lê Hữu Trác tổ chức Hội nghị Tổng kết công tác chỉ đạo, hỗ trợ chuyên môn kỹ thuật năm 2025.Thứ trưởng Bộ Y tế Đỗ Xuân Tuyên dự và phát biểu. ...
Bộ trưởng Bộ Y tế Đào Hồng Lan hội đàm song phương với Thống đốc tỉnh Kanagawa, Nhật Bản
Thứ Sáu, ngày 14/11/2025 10:23Sáng 14/11/2025, Ủy viên Trung ương Đảng, Bộ trưởng Bộ Y tế Đào Hồng Lan đã tiếp, làm việc, hội đàm song phương với ngài Kuroiwa Yuji, Thống đốc tỉnh Kanagawa, nhằm đẩy hợp tác y tế giữa Bộ Y tế...
Bộ trưởng Bộ Y tế Đào Hồng Lan: Khám sức khỏe định kỳ cho người dân, thể hiện rõ nét sự quan tâm của Đảng, Nhà nước
Thứ Sáu, ngày 14/11/2025 06:43Khám sức khỏe định kỳ cho người dân, thể hiện rõ nét của sự quan tâm của Đảng, Nhà nước và Chính phủ. Đây là khẳng định của Ủy viên Trung ương Đảng, Bộ trưởng Bộ Y tế Đào Hồng Lan tại cuộc họp...
Thứ trưởng Thường trực Bộ Y tế Vũ Mạnh Hà tiếp và làm việc với Hiệp hội Doanh nghiệp Châu Âu tại Việt Nam và Pharma Group
Thứ Sáu, ngày 14/11/2025 06:36Chiều 13/11/2025, tại trụ sở Bộ Y tế, Ủy viên Dự khuyết Trung ương Đảng, Thứ trưởng Thường trực Bộ Y tế Vũ Mạnh Hà đã tiếp và làm việc với Hiệp hội doanh nghiệp Châu Âu tại Việt Nam (EuroCham) và...
Thứ trưởng Thường trực Bộ Y tế Vũ Mạnh Hà làm việc với Bệnh viện Châm cứu Trung ương về thực hiện nhiệm vụ 2 tháng cuối năm 2025 và năm 2026
Thứ Sáu, ngày 14/11/2025 06:26Sáng 13/11/2025, đoàn công tác của Bộ Y tế do TS.BS Vũ Mạnh Hà, Ủy viên Dự khuyết Trung ương Đảng, Thứ trưởng Bộ Y tế làm trưởng đoàn làm việc với lãnh đạo chủ chốt Bệnh viện Châm cứu Trung ương...
Thứ trưởng Bộ Y tế Nguyễn Thị Liên Hương: Ghi nhận hành trình 30 năm góp phần thúc đẩy y tế dự phòng của Unilever tại Việt Nam
Thứ Sáu, ngày 14/11/2025 01:12Ngày 12/11/2025, tại Hà Nội, Unilever tổ chức “Lễ kỷ niệm 30 năm Unilever tại Việt Nam: 30 năm phụng sự, vì Việt Nam là nhà”.
Bộ Y tế họp Ban soạn thảo Thông tư Quy định chi tiết hướng dẫn về tiêu chuẩn, định mức diện tích công trình sự nghiệp trong lĩnh vực y tế thuộc lĩnh vực quản lý nhà nước của Bộ Y tế
Thứ Sáu, ngày 14/11/2025 01:07Ngày 13/11/2025, Bộ Y tế đã họp Ban soạn thảo thông tư Quy định chi tiết hướng dẫn về tiêu chuẩn, định mức diện tích công trình sự nghiệp trong lĩnh vực y tế thuộc lĩnh vực quản lý nhà nước của Bộ...
Đảng, Quốc hội và Chính phủ luôn coi sức khỏe là vốn quý nhất của mỗi người dân và của toàn xã hội
Thứ Tư, ngày 12/11/2025 12:09Thứ trưởng Nguyễn Thị Liên Hương nhấn mạnh: Đảng, Quốc hội và Chính phủ luôn coi sức khỏe là vốn quý nhất của mỗi người dân và của toàn xã hội; bảo vệ, chăm sóc và nâng cao sức khỏe là...
Bộ trưởng Bộ Y tế Đào Hồng Lan: Liên thông Cơ sở dữ liệu y tế mang lại những thay đổi tích cực cho ngành Y tế Việt Nam
Thứ Tư, ngày 12/11/2025 06:39Chiều 11/11/2025, tại trụ sở Bộ Y tế, Ủy viên Trung ương Đảng, Bộ trưởng Bộ Y tế Đào Hồng Lan chủ trì hội nghị đánh giá, đôn đốc tiến độ hoàn thiện bộ Cơ sở dữ liệu y tế và thủ tục hành chính kết...
Thứ trưởng Thường trực Bộ Y tế Vũ Mạnh Hà: Hoàn thành đúng tiến độ thiết lập bộ thủ tục hành chính của ngành y tế hòa cùng nền hành chính hiện đại
Thứ Tư, ngày 12/11/2025 06:32Sáng 11/11/2025, TS.BS Vũ Mạnh Hà, Ủy viên Dự khuyết Trung ương Đảng, Thứ trưởng Thường trực Bộ Y tế chủ trì cuộc họp về kết quả, tiến độ triển khai xây dựng cơ sở dữ liệu, thủ tục hành chính,...
Thứ trưởng Bộ Y tế Trần Văn Thuấn: Lấy kết quả tiến độ công việc là chỉ tiêu đánh giá thi đua của các đơn vị
Thứ Tư, ngày 12/11/2025 06:25Sáng 11/11/2025, tại trụ sở Bộ Y tế, GS.TS Trần Văn Thuấn, Thứ trưởng Bộ Y tế, Chủ tịch Hội đồng Y khoa Quốc gia chủ trì cuộc họp trực tiếp kết hợp trực tuyến về tiến độ xây dựng quy trình kỹ...
Thứ trưởng Bộ Y tế Nguyễn Thị Liên Hương rà soát khó khăn thực hiện chính quyền 2 cấp lĩnh vực Bảo trợ xã hội và Phòng bệnh
Thứ Tư, ngày 12/11/2025 06:21Chiều 11/11/2025, PGS.TS Nguyễn Thị Liên Hương, Thứ trưởng Bộ Y tế chủ trì cuộc họp với lãnh đạo Cục Phòng bệnh, Cục Bảo trợ xã hội và đơn vị liên quan về việc xử lý khó khăn, vướng mắc khi thực...
Thứ trưởng Bộ Y tế Đỗ Xuân Tuyên: Bộ Y tế nghiêm túc thực hiện Thông báo kết luận số 1066-TB/UBKTTW ngày 18/8/2025 của Ủy ban Kiểm tra Trung ương
Thứ Tư, ngày 12/11/2025 06:18Sáng 11/11/2025, tại trụ sở Bộ Y tế, Thứ trưởng Bộ Y tế Đỗ Xuân Tuyên chủ trì cuộc họp triển khai Kế hoạch số 11-KH/ĐU ngày 16/10/2025 của Đảng ủy Bộ Y tế về thực hiện Thông báo kết luận số...
Thứ trưởng Thường trực Bộ Y tế Vũ Mạnh Hà làm việc với Bệnh viện Y học cổ truyền Trung ương về những nhiệm vụ trọng tâm 2 tháng cuối năm 2025, cả năm 2026
Thứ Tư, ngày 12/11/2025 06:12Sáng 12/11/2025, TS.BS Vũ Mạnh Hà, Ủy viên Dự khuyết Trung ương Đảng, Thứ trưởng Thường trực Bộ Y tế làm trưởng đoàn công tác của Bộ Y tế làm việc với tập thể Ban Giám đốc, lãnh đạo chủ chốt các...
Xuất bản thông tin
Xét nghiệm phát hiện bệnh lý nghiêm trọng cho người đàn ông uống rượu suốt 20 năm
05/10/2024 | 14:17 PM
Mới đây, tại Phòng khám Đa khoa Medlatec Thanh Xuân (Hà Nội), ông N.V.A. (60 tuổi, Lạng Sơn) đến khám sức khỏe tổng quát trong tình trạng mệt mỏi, nước tiểu màu vàng đậm.
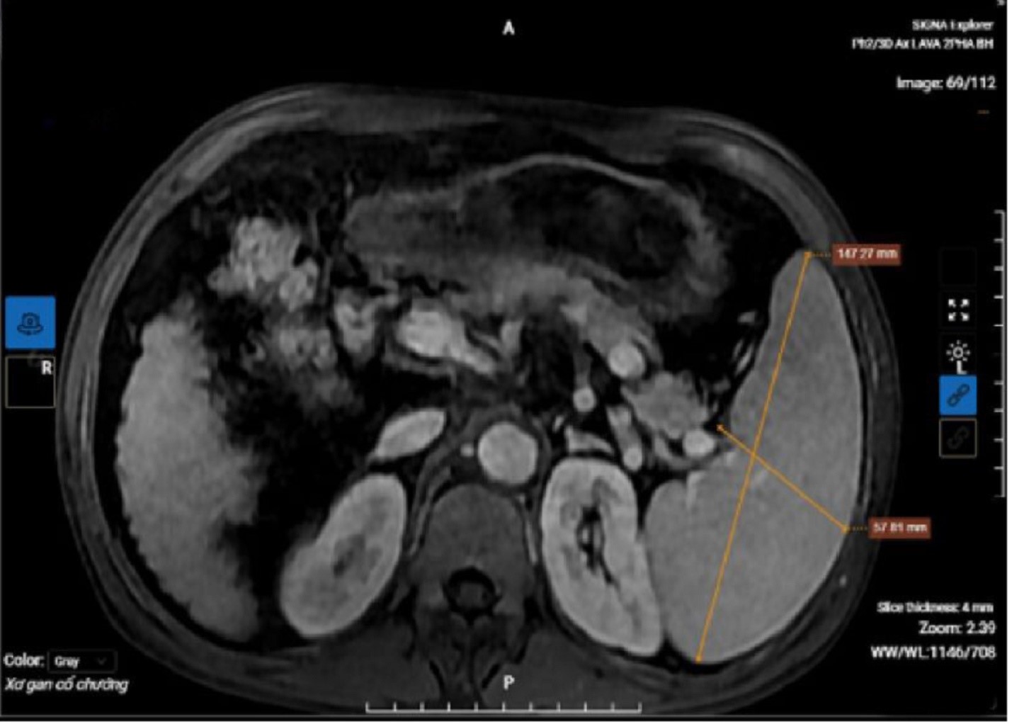
Kết quả chụp MRI của bệnh nhân cho thấy hình ảnh xơ gan lách to, dịch bao quanh gan.
Được biết, cách đây 5 năm, ông A được chẩn đoán xơ gan, nhưng do không thấy xuất hiện các triệu chứng mất bù của bệnh nên chủ quan không điều trị và không tuân thủ tái khám theo chỉ định. Ngoài ra, người đàn ông này còn có thói quen uống nửa lít rượu mỗi ngày duy trì trong suốt 20 năm qua, ngay cả khi nhận kết quả mắc xơ gan.
Sau khi thăm khám lâm sàng và thực hiện các xét nghiệm, chẩn đoán hình ảnh cần thiết, kết quả cho thấy chỉ số men gan AST, ALT, Bilirubin trong máu của ông tăng ở mức báo động, cùng tình trạng xơ gan mất bù, kèm theo dịch ổ bụng.
Đồng thời, kết quả xét nghiệm của bệnh nhân còn cho thấy dương tính với viêm gan B. Cuối cùng, bác sĩ đưa ra chẩn đoán xác định bệnh nhân mắc xơ gan mất bù kèm viêm gan B mạn tính.
Kết luận về trường hợp này, TS.BS Ngô Chí Cương - Phó Giám đốc chuyên môn Bệnh viện Đa khoa Medlatec, Trưởng Chuyên khoa Truyền nhiễm và Y học Nhiệt đới, cho biết, bệnh nhân sẵn có tiền sử xơ gan nhưng không điều trị dẫn đến tình trạng xơ gan mất bù trầm trọng.
Khi mắc bệnh lý viêm gan B mạn tính kèm theo, nếu không được điều trị kịp thời có thể khiến virus HBV bùng phát với tải lượng lớn và cơ thể bệnh nhân không đủ sức đề kháng để chống lại, gây biến chứng suy gan cấp và mạn tính, hôn mê gan, gan mất hoàn toàn chức năng và hậu quả nặng nề là tử vong nếu không được ghép gan.
Đến thời điểm hiện tại, viêm gan B mạn vẫn chưa có phương pháp điều trị dứt điểm hoàn toàn mà chỉ có các phác đồ thuốc điều trị nhằm ức chế hoạt động của virus. Đặc biệt, với bệnh nhân xơ gan, việc điều trị cần tiến hành suốt đời giúp người bệnh có thể “chung sống hòa bình” với virus.
TS.BS Ngô Chí Cương cho biết, bệnh nhân mắc xơ gan và viêm gan B mạn tính, việc tuân thủ phác đồ điều trị của bác sĩ là rất quan trọng. Cụ thể, bệnh nhân cần tuân thủ lối sống khoa học, chế độ dinh dưỡng, dùng thuốc đúng liều và đặc biệt kiêng rượu bia.
Bác sĩ chia sẻ thêm, thực tế cho thấy, nhiều trường hợp bị xơ gan, viêm gan B mạn tính, việc tuân thủ nghiêm ngặt phác đồ cùng khả năng đáp ứng thuốc tốt có thể có cuộc sống khỏe mạnh như người bình thường. Bởi vậy, để điều trị thành công bệnh lý này, người bệnh cần kiên trì và theo dõi sát sao, linh hoạt bởi bác sĩ điều trị.
Phòng Truyền thông Y tế
Tin liên quan
- Cảnh giác với “bác sĩ AI”
- Đầu tư hạ tầng, nâng chất lượng y tế cơ sở
- Có cơ chế, chính sách đột phá thúc đẩy chuyển đổi số toàn diện
- Bộ Y tế thu hồi, tiêu huỷ lô kem chống nắng trên nhãn ghi SPF 45+, kiểm nghiệm chỉ đạt 2
- Thứ trưởng Bộ Y tế Nguyễn Thị Liên Hương tham dự chương trình khám bệnh và tặng quà tại xã An Châu, tỉnh Nghệ An
- Bộ Y tế yêu cầu thu hồi, tiêu hủy nhiều sản phẩm mỹ phẩm vi phạm
- AI trong phòng chống đột quỵ
