Thành tựu y học
Thuốc điều trị đích giúp bệnh nhân ung thư phổi giai đoạn muộn ổn định bệnh suốt 6 năm
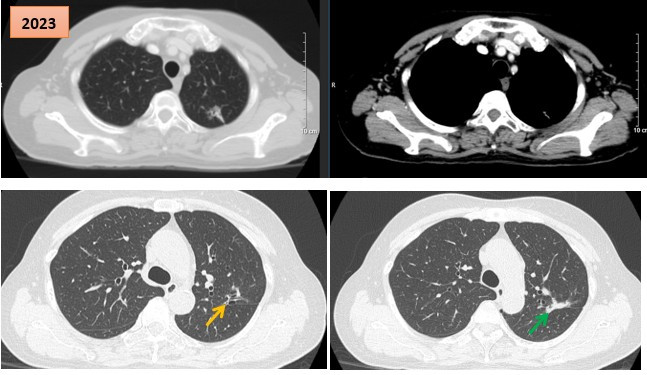
Thứ Sáu, ngày 30/01/2026 10:04Các bác sĩ Trung tâm Y học hạt nhân và Ung bướu (Bệnh viện Bạch Mai) vừa ghi nhận một trường hợp bệnh nhân ung thư phổi giai đoạn muộn được điều trị bằng thuốc TKIs thế hệ I từ năm 2017...
Công nghệ in 3D giúp người đàn ông phục hồi khuỷu tay bị biến dạng
Thứ Sáu, ngày 16/01/2026 16:39Gần 3 thập kỷ sống với cánh tay bị biến dạng, yếu liệt, đi chữa khắp các nơi không phục hồi được, anh Vũ Hồng Phong (47 tuổi, Thái Nguyên) không thể nghĩ công nghệ mới có thể giúp anh hồi...
Bệnh viện Sản - Nhi tỉnh Lào Cai đón em bé IVF đầu tiên chào đời
Thứ Sáu, ngày 09/01/2026 16:31Chiều 7/1, Bệnh viện Sản Nhi tỉnh Lào Cai đã ghi dấu mốc quan trọng khi đón chào em bé đầu tiên được thụ tinh trong ống nghiệm (IVF). Đó là bé trai nặng 3kg, chào đời lúc 16h40 phút, được...
Hiếm gặp: Sản phụ mang song thai một bánh rau, một buồng ối
Thứ Hai, ngày 05/01/2026 10:15Hai thai nhi cùng chung một buồng ối và một bánh rau, tiềm ẩn nguy cơ cao như dây rốn quấn nhau, hội chứng truyền máu song thai, thai chậm tăng trưởng và thai lưu đột ngột nếu...
Liên tiếp nối thành công hai ca đứt lìa cổ chân
Thứ Ba, ngày 29/12/2025 18:22Trong vòng 5 ngày, Bệnh viện Chấn thương Chỉnh hình Nghệ An thực hiện thành công hai ca phẫu thuật vi phẫu nối cổ chân đứt lìa do tai nạn lao động, qua đó giữ lại chi thể và cơ hội phục hồi vận...
Công nghệ bản đồ tim 3D mở lối điều trị rối loạn nhịp phức tạp tại tuyến tỉnh
Thứ Năm, ngày 25/12/2025 13:35Triển khai hệ thống lập bản đồ 3D tại BVĐK tỉnh Phú Thọ đã tạo bước đột phá trong chẩn đoán và điều trị rối loạn nhịp tim, giúp định vị chính xác ổ loạn nhịp, nâng cao tỷ lệ triệt đốt thành công,...
Phẫu thuật nội soi thành công cho cụ bà 105 tuổi bị viêm túi mật hoại tử, sỏi ống mật chủ
Thứ Hai, ngày 22/12/2025 10:09Các bác sĩ Khoa Ngoại Tiêu hóa, Bệnh viện Đa khoa Xanh Pôn vừa thực hiện thành công ca phẫu thuật nội soi cắt túi mật, mở ống mật chủ lấy sỏi dẫn lưu Kehr cấp cứu cho cụ bà 105 tuổi. Thông...
Kĩ thuật cao xử lí triệt để khối u kích thước lớn
Thứ Năm, ngày 18/12/2025 15:16Các bác sĩ Bệnh viện K vừa xử lí thành công một khối u thực quản kích thước lớn bằng kĩ thuật nội soi ống mềm can thiệp qua khoang thứ ba - một phương pháp hiện đại, ít xâm lấn nhưng đòi hỏi...
Giành giật sự sống cho sản phụ ngừng tim, hôn mê sâu
Thứ Tư, ngày 17/12/2025 07:00Nhờ sức mạnh kết nối liên viện và đa chuyên khoa, các bác sĩ tại Thanh Hóa làm nên kỳ tích "hồi sinh" sản phụ ngừng tuần hoàn. Sản phụ K.T.M.P. (36 tuổi, xã Hà Trung, Thanh Hóa - người mẹ...
Bệnh viện thứ 2 cả nước thực hiện kỹ thuật vi phẫu tái tạo khuyết hổng lớn vùng hàm mặt
Thứ Sáu, ngày 12/12/2025 09:50Bệnh viện Đa khoa Thái Bình (Hưng Yên) vừa ghi nhận dấu mốc quan trọng trong phát triển kỹ thuật cao khi tiếp nhận và làm chủ thành công kỹ thuật vi phẫu tạo hình các khuyết hổng lớn vùng hàm mặt...
Hành trình tìm ra căn bệnh hiếm từ những bất thường nhỏ ở bé 12 tuổi
Thứ Tư, ngày 10/12/2025 03:56Từ những bất thường nhỏ, các bác sĩ Bệnh viện đa khoa khu vực Quảng Nam (TP Đà Nẵng) đã phát hiện ra bệnh lý hiếm gặp ở trẻ và kéo “cuộc đời nhỏ” trở về an toàn. Những ngày đầu tháng 12, các...
Bệnh nhân ghép phổi đầu tiên ở phía Nam xuất viện trong tình trạng khỏe mạnh
Thứ Tư, ngày 10/12/2025 03:52Bệnh viện Chợ Rẫy vừa ghi dấu cột mốc đặc biệt trong lịch sử ghép tạng khi nam bệnh nhân A. (sinh năm 1986, ngụ TPHCM) - người được ghép phổi thành công trong đêm 7/11 rạng sáng 8/11 đã chính...
Lần đầu tiên bác sĩ Việt Nam vi phẫu thuật thành công 'cứu' ngón tay bệnh nhân đứt rời sau 25 giờ
Thứ Ba, ngày 09/12/2025 12:27Khi đang làm nhiệm vụ trên tàu viễn dương, anh D là thủy thủ tàu viễn dương đã gặp tai nạn nghiêm trọng, ngón trỏ tay phải đứt rời... Bão số 12 đổ bộ khiến con tàu chao đảo mạnh vào thời...
Bệnh nhân ung thư Hà Tĩnh có thêm cơ hội điều trị tại chỗ
Thứ Ba, ngày 09/12/2025 11:48Để đáp ứng nhu cầu khám, chữa bệnh ngày càng cao, Bệnh viện Đa khoa tỉnh Hà Tĩnh thành lập khu xạ trị kỹ thuật cao. Sau thời gian ngắn hoạt động, khu điều trị này mang lại kết quả tích cực, giúp...
Giải thưởng Chính VinFuture năm 2025 vinh danh những nhà khoa học khám phá và phát triển vaccine HPV
Thứ Bẩy, ngày 06/12/2025 06:08Tối 5/12, hàng trăm bộ óc kiệt xuất khắp thế giới đã có mặt tại Lễ trao Giải thưởng Khoa học Công nghệ thường niên toàn cầu VinFuture lần thứ 5 diễn ra tại Nhà hát Hồ Gươm (Hà Nội) để...
Lần đầu tiên Việt Nam ứng dụng hệ thống phẫu thuật nội soi thần kinh hiện đại
Thứ Sáu, ngày 05/12/2025 03:36Bệnh viện Chợ Rẫy (Thành phố Hồ Chí Minh) vừa đưa vào sử dụng Hệ thống phẫu thuật nội soi thần kinh 4K - ICG - 1 thực hiện phẫu thuật thành công cho nhiều ca bệnh phức tạp về u tuyến yên khổng...
Đưa trái tim vượt 1.600 km cứu sống bé trai 9 tuổi trong cuộc ghép tạng xuyên Việt
Thứ Tư, ngày 03/12/2025 03:13Một trái tim hiến tặng được vận chuyển hơn 1.600 km từ Hà Nội vào TPHCM trong “cuộc đua với tử thần”, mang theo hy vọng sống cho bé trai 9 tuổi bị suy tim giai đoạn cuối. Ca ghép tim xuyên Việt...
Đặt điện cực định vị vùng chức năng trong phẫu thuật u thần kinh đệm lan tỏa
Thứ Tư, ngày 03/12/2025 00:21Lần đầu tiên tại Bệnh viện Hữu nghị Việt Đức, ê-kíp áp dụng kỹ thuật đặt điện cực theo dõi chức năng liên tục trong lúc bệnh nhân mắc u thần kinh đệm nhu mô não kích thước lớn được gây...
Phối hợp đa chuyên khoa, nối lại bàn tay cho sản phụ mang song thai thành công
Thứ Tư, ngày 03/12/2025 00:14Bệnh viện Đa khoa Bình Dương nối thành công bàn tay cho sản phụ mang song thai 34 tuần, đảm bảo an toàn cho cả mẹ và hai thai nhi nhờ kỹ thuật vi phẫu tinh vi và phối hợp đa chuyên khoa. ...
Nối lại bàn tay cho thai phụ mang song thai 34 tuần
Thứ Hai, ngày 01/12/2025 11:20Bệnh viện đa khoa Bình Dương vừa thực hiện thành công một ca phẫu thuật đặc biệt và giàu tính nhân văn khi nối lại bàn tay phải cho người bệnh đang mang song thai 34 tuần. Sau...