Bệnh viện Hữu nghị Đa khoa Nghệ An cứu sống bệnh nhân người nước ngoài bị nhồi máu cơ tim cấp
19/04/2026 | 13:12 PM
Bệnh viện Hữu nghị Đa khoa Nghệ An vừa thực hiện thành công ca can thiệp mạch vành cứu sống bệnh nhân nam (37 tuổi, Quốc tịch Trung Quốc) nhập viện trong tình trạng nhồi máu cơ tim cấp nguy kịch.
Bệnh nhân nhập viện ngày 9/4/2026 với triệu chứng điển hình: Đau tức vùng ngực trái lan lên vai và lan ra tay trái, kèm theo khó thở. Khai thác tiền sử cho thấy bệnh nhân hút thuốc lá nhiều năm - một yếu tố nguy cơ quan trọng thúc đẩy xơ vữa động mạch vành và biến cố tim mạch sớm.

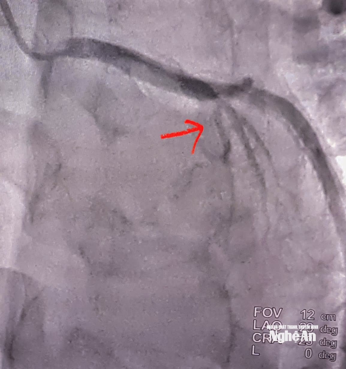
Tắc động mạch liên thất trước đoạn 2 (LADII) (Hình mũi tên đỏ). Ảnh: Bệnh viện Hữu nghị Đa khoa Nghệ An
Ngay khi tiếp nhận tại Bệnh viện, các bác sĩ tại Khoa Cấp cứu đã khẩn trương thực hiện quy trình cấp cứu nhồi máu cơ tim, phối hợp thăm khám lâm sàng, điện tim, các xét nghiệm cần thiết và hội chẩn các bác sĩ chuyên khoa Tim mạch. Kết quả xác định: Bệnh nhân bị nhồi máu cơ tim cấp thành trước - một thể bệnh nguy hiểm, có thể diễn biến nhanh sang sốc tim, và tử vong cao.
Nhồi máu cơ tim cấp là một trong những nguyên nhân hàng đầu gây tử vong trên toàn cầu. Trong bối cảnh bệnh lý tim mạch ngày càng có xu hướng trẻ hóa, việc phát hiện sớm và can thiệp kịp thời đóng vai trò quyết định đến khả năng sống còn và chất lượng cuộc sống của người bệnh.
Bệnh nhân được chỉ định chụp động mạch vành cấp cứu bằng hệ thống chụp mạch số hóa xóa nền (DSA) qua đường động mạch quay phải - phương pháp hiện đại, ít xâm lấn, giúp rút ngắn thời gian can thiệp và giảm biến chứng.

Ê-kíp Khoa Nội Tim mạch 2, Bệnh viện Hữu nghị Đa khoa Nghệ An tiến hành nong bóng và đặt một stent phủ thuốc tại vị trí tổn thương. Ảnh: Bệnh viện Hữu nghị Đa khoa Nghệ An
Kết quả chụp mạch cho thấy bệnh nhân tắc hoàn toàn động mạch liên thất trước đoạn II (LAD II) - nhánh mạch vành quan trọng cung cấp máu cho phần lớn cơ tim thất trái. Ê-kíp can thiệp đã nhanh chóng tiến hành nong bóng và đặt một stent phủ thuốc tại vị trí tổn thương. Thủ thuật diễn ra thuận lợi, dòng máu được tái lập ngay sau can thiệp, cải thiện rõ rệt tình trạng thiếu máu cơ tim.
Trong cấp cứu nhồi máu cơ tim, yếu tố quyết định là thời gian. Mỗi phút trôi qua là một phần cơ tim bị hoại tử. Việc tái thông mạch vành càng sớm thì khả năng bảo tồn chức năng tim càng cao.
Sau can thiệp, bệnh nhân được theo dõi và điều trị nội khoa tích cực. Nhờ được tái thông mạch kịp thời và áp dụng kỹ thuật can thiệp hiện đại, bệnh nhân hồi phục nhanh, giảm đau rõ rệt, không xuất hiện biến chứng nặng. Sau 4 ngày điều trị, tình trạng bệnh nhân ổn định, các chỉ số sinh tồn trong giới hạn cho phép và được xuất viện.

Hình ảnh động mạch vành đã được tái thông. Ảnh: Bệnh viện Hữu nghị Đa khoa Nghệ An
Trường hợp bệnh nhân 37 tuổi lần này là minh chứng rõ ràng cho xu hướng trẻ hóa của bệnh lý nhồi máu cơ tim. Trước đây, bệnh thường gặp ở người lớn tuổi, tuy nhiên, hiện nay ngày càng xuất hiện nhiều hơn ở nhóm bệnh nhân trẻ tuổi, đặc biệt ở nhóm bệnh nhân có nhiều yếu tố nguy cơ tim mạch.
Các yếu tố nguy cơ như hút thuốc lá, căng thẳng kéo dài, chế độ ăn uống không lành mạnh, ít vận động… đang góp phần làm gia tăng tỷ lệ mắc bệnh tim mạch ở người trẻ.
Thành công của ca can thiệp không chỉ cứu sống người bệnh mà còn khẳng định năng lực chuyên môn, khả năng làm chủ kỹ thuật cao của đội ngũ bác sĩ Khoa Nội Tim mạch 2 nói riêng và Bệnh viện Hữu nghị Đa khoa Nghệ An nói chung.
Việc đầu tư hệ thống DSA hiện đại cùng đội ngũ bác sĩ được đào tạo bài bản đã giúp Bệnh viện triển khai hiệu quả nhiều kỹ thuật tim mạch chuyên sâu, góp phần nâng cao chất lượng điều trị và giảm tải cho các bệnh viện tuyến Trung ương.
(Nguồn: baonghean.vn)
Related news
- Đưa kỹ thuật tầm soát ung thư về tận cơ sở, hơn 450 người dân được khám miễn phí
- Cấp cứu du khách Trung Quốc bị ngất khi leo đảo Ti Tốp
- Gần 30.000 người dân được khám sức khỏe trong một ngày, nhiều trường hợp lần đầu phát hiện bệnh
- 32 tỉnh, thành phố tham gia Chiến dịch hiến máu Hành trình Đỏ năm 2026
- 27 ngày hồi sinh kỳ diệu: Cô gái 21 tuổi xuất viện sau ca ghép thận đầu tiên tại Bệnh viện E
- Bác sĩ giúp sản phụ 'vượt cạn' trên xe cứu thương