Bệnh viện 19-8 cấp cứu ca vỡ thận nguy kịch
15/02/2026 | 23:31 PM
Ngày 14/2, ngày đầu kỳ nghỉ Tết kéo dài 9 ngày, Khoa Cấp cứu Bệnh viện 19-8 tiếp nhận bệnh nhân P.T.N.L. (24 tuổi) trong tình trạng mệt mỏi, đau bụng nhiều, xây xát vùng mặt - trán sau tai nạn giao thông.
Ngay khi nhập viện, bệnh nhân được thăm khám khẩn trương, chỉ định siêu âm ổ bụng, chụp CT sọ não và CT bụng có tiêm thuốc cản quang.
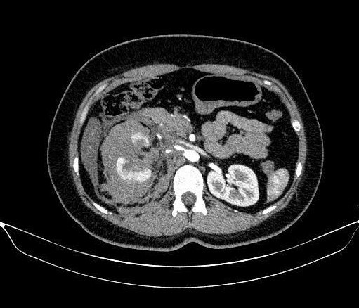
Kết quả cho thấy bệnh nhân bị vỡ thận phải độ IV theo phân loại AAST 2018 là mức độ tổn thương nặng, nguy cơ cao phải cắt thận nếu xử trí không kịp thời.
Trước tình huống cấp cứu phức tạp trong thời điểm đầu kỳ nghỉ Tết, kíp trực đã tổ chức hội chẩn khẩn giữa Khoa Chẩn đoán hình ảnh & Y học hạt nhân và Khoa Ngoại tiết niệu.
Sau khi đánh giá lâm sàng và hình ảnh học, các bác sĩ quyết định lựa chọn phương pháp can thiệp nội mạch chọn lọc để cầm máu và bảo tồn tối đa nhu mô thận, thay vì phẫu thuật cắt thận như trước đây.
Hình ảnh chụp CT bụng của bệnh nhân. Ảnh: BVCC
Ca can thiệp do ThS.BSCKII Lê Hồng Kỳ, Trưởng khoa Chẩn đoán hình ảnh & Y học hạt nhân, trực tiếp thực hiện. Chụp động mạch thận phải ghi nhận tình trạng thoát thuốc từ các nhánh động mạch cực dưới. Ê kíp tiến hành can thiệp siêu chọn lọc bằng microcatheter, nút mạch bằng hỗn dịch Histoacryl – Lipiodol kết hợp Spongel.
Chụp kiểm tra sau can thiệp cho thấy các nhánh mạch tổn thương được tắc hoàn toàn, phần nhu mô thận còn lại được bảo tồn tốt. Thủ thuật diễn ra an toàn, không ghi nhận biến chứng trong và ngay sau can thiệp.
Hiện bệnh nhân được theo dõi và điều trị tại Khoa Ngoại tiết niệu, tình trạng ổn định song vẫn cần giám sát chặt chẽ diễn biến tiếp theo. Theo đại diện bệnh viện, việc triển khai thành công kỹ thuật can thiệp mạch trong trường hợp chấn thương thận nặng góp phần hạn chế chỉ định cắt thận, bảo tồn chức năng cơ quan và giảm xâm lấn cho người bệnh, ngay cả trong thời điểm trực Tết.
(Nguồn: suckhoedoisong.vn)
Tin liên quan
- Dấu mốc mới trong lĩnh vực ghép tạng: Việt Nam lần đầu tiên triển khai ca ghép tạng domino
- Quảng Ninh triển khai loạt giải pháp đảm bảo an toàn thực phẩm
- Giành giật sự sống cho bệnh nhân chấn thương hàm mặt nguy kịch
- Thu hẹp khoảng cách giữa các tuyến trong khám, chữa bệnh
- Chỉ 3h sau mổ thoát vị đĩa đệm, bệnh nhân không chỉ hết đau vật vã mà còn tự đi được
- Hơn 90% người Việt mắc bệnh răng miệng: Thói quen sai lầm khiến bệnh nặng mới đi khám
- Bệnh viện tuyến dưới phối hợp với tuyến trên cứu chữa nhiều ca bệnh nặng, phức tạp
