HOẠT ĐỘNG CỦA LÃNH ĐẠO BỘ
Sắp xếp lại hệ thống y tế công lập: Tập trung nguồn lực cho các bệnh viện đầu ngành
Thứ Hai, ngày 23/03/2026 12:55Việc tái cơ cấu hệ thống y tế công lập đang được triển khai theo hướng tinh gọn, hiệu quả hơn, trong đó đáng chú ý là đề xuất Bộ Y tế trực tiếp quản lý 25 bệnh viện đầu ngành. Không chỉ...
Thứ trưởng Bộ Y tế Đỗ Xuân Tuyên: Cùng với tăng cường kiểm tra, giám sát, hậu kiểm cần đẩy mạnh truyền thông chính sách về an toàn thực phẩm
Thứ Hai, ngày 23/03/2026 10:14Sáng 23/3/2026, tại trụ sở Bộ Y tế, Thứ trưởng Bộ Y tế Đỗ Xuân Tuyên chủ trì cuộc họp với đại diện một số Bộ, ngành để rà soát, thống nhất Dự thảo Nghị quyết tạm ngưng hiệu lực Nghị định số...
Thứ trưởng Nguyễn Tri Thức và đoàn công tác Bộ Y tế thăm, làm việc tại Vương quốc Anh
Thứ Bẩy, ngày 21/03/2026 15:37Chuyến thăm Vương quốc Anh của Thứ trưởng Bộ Y tế Nguyễn Tri Thức và đoàn công tác Bộ Y tế nhằm tăng cường hợp tác song phương trong lĩnh vực y tế, khoa học đời sống và đổi mới sáng tạo, dược...
Bộ trưởng Bộ Y tế Đào Hồng Lan và nhiều đại diện ngành Y tế trúng cử Đại biểu Quốc hội khóa XVI
Thứ Bẩy, ngày 21/03/2026 13:00Ngày 21/3/2026, Hội đồng Bầu cử Quốc gia công bố Nghị quyết số 232/NQ-HĐBCQG về kết quả bầu cử và công bố danh sách những người trúng cử đại biểu Quốc hội khóa XVI, nhiệm kỳ 2026–2031. Ủy viên...
Bộ trưởng Bộ Y tế Đào Hồng Lan: Xây dựng chính sách trong lĩnh vực y tế phải theo lộ trình, sát thực tiễn và quan tâm sâu sát nhóm nhân viên tuyến cơ sở
Thứ Sáu, ngày 20/03/2026 13:43Sáng 20/3/2026, tại trụ sở Bộ Y tế, Ủy viên Ban Chấp hành Trung ương Đảng, Bộ trưởng Bộ Y tế Đào Hồng Lan chủ trì cuộc họp rà soát, bổ sung dự thảo Nghị định Quy định, chế độ phụ cấp ưu đãi theo...
Thứ trưởng Thường trực Bộ Y tế Vũ Mạnh Hà chủ trì Hội thảo triển khai xây dựng phương thức thanh toán theo nhóm chẩn đoán (DRG)
Thứ Sáu, ngày 20/03/2026 13:37Chiều 20/3/2026, tại Hà Nội, Bộ Y tế tổ chức Hội thảo triển khai xây dựng phương thức thanh toán theo nhóm chẩn đoán (DRG) năm 2026. TS.BS Vũ Mạnh Hà, Ủy viên Dự khuyết Ban Chấp...
Thứ trưởng Bộ Y tế Trần Văn Thuấn: Bệnh viện Mắt Sài Gòn Quảng Ngãi góp phần phát triển hệ thống nhãn khoa chất lượng cao tại khu vực miền Trung
Thứ Sáu, ngày 20/03/2026 13:27Sáng 20/3/2026, Bệnh viện Mắt Sài Gòn Quảng Ngãi chính thức khánh thành và đưa vào hoạt động tại phường Cẩm Thành, tỉnh Quảng Ngãi. Sự kiện đánh dấu bước phát triển mới của hệ thống...
Bộ trưởng Bộ Y tế Đào Hồng Lan tiếp và làm việc với Đại sứ Đặc mệnh toàn quyền Hàn Quốc tại Việt Nam
Thứ Sáu, ngày 20/03/2026 02:32Chiều 19/3/2026, tại trụ sở Bộ Y tế, Ủy viên Ban Chấp hành Trung ương Đảng, Bộ trưởng Bộ Y tế Đào Hồng Lan tiếp và làm việc với Ngài Choi Young Sam, Đại sứ đặc mệnh toàn quyền Hàn Quốc tại Việt...
Bộ trưởng Bộ Y tế Đào Hồng Lan tiếp và làm việc với Đại biện lâm thời Đại sứ quán Hoa Kỳ tại Việt Nam
Thứ Sáu, ngày 20/03/2026 02:23Chiều 19/3/2026, tại trụ sở Bộ Y tế, Ủy viên Ban Chấp hành Trung ương Đảng, Bộ trưởng Bộ Y tế Đào Hồng Lan tiếp và việc với ông John W. McIntyre, Đại biện lâm thời Đại sứ quán Hoa Kỳ tại Việt...
Thứ trưởng Bộ Y tế Nguyễn Thị Liên Hương: Phân cấp, phân quyền và cải cách thủ tục hành chính khi soạn thảo văn bản pháp luật hướng dẫn Luật Phòng bệnh
Thứ Sáu, ngày 20/03/2026 02:11Ngày 19/3/2026, Bộ Y tế tổ chức Hội thảo lấy ý kiến góp ý dự thảo Nghị định, Thông tư hướng dẫn Luật Phòng bệnh. PGS.TS Nguyễn Thị Liên Hương, Thứ trưởng Bộ Y tế chủ trì hội thảo tại điểm cầu Bộ...
Bộ trưởng Bộ Y tế Đào Hồng Lan tiếp và làm việc với Tổng Lãnh sự danh dự Việt Nam tại Nagoya, Nhật Bản
Thứ Năm, ngày 19/03/2026 13:43Sáng 19/3/2026, tại trụ sở Bộ Y tế, Ủy viên Ban Chấp hành Trung ương Đảng, Bộ trưởng Bộ Y tế Đào Hồng Lan chủ trì buổi tiếp và làm việc với Giáo sư Nagato Natsume, Tổng Lãnh sự danh dự Việt Nam...
Bộ trưởng Bộ Y tế Đào Hồng Lan trao Quyết định bổ nhiệm lại Giám đốc Bệnh viện Nhi Trung ương
Thứ Năm, ngày 19/03/2026 13:38Sáng 19/3/2026, tại Bệnh viện Nhi Trung ương, Bộ Y tế tổ chức lễ công bố Quyết định của Bộ trưởng Bộ Y tế về việc bổ nhiệm lại Giáo sư, Tiến sĩ Trần Minh Điển giữ chức vụ Giám đốc Bệnh viện Nhi...
Bộ trưởng Bộ Y tế Đào Hồng Lan: Từ Ngày Sức khỏe toàn dân hướng tới một Việt Nam khỏe mạnh
Thứ Tư, ngày 18/03/2026 16:41Sáng 18/3/2026, tại trụ sở Bộ Y tế, Ủy viên Ban Chấp hành Trung ương Đảng, Bộ trưởng Bộ Y tế Đào Hồng Lan chủ trì cuộc họp rà soát việc thực hiện nhiệm vụ triển khai các hoạt động hưởng ứng “Ngày...
Thứ trưởng Bộ Y tế Trần Văn Thuấn: Ngân hàng sữa mẹ vệ tinh tại Bệnh viện đa khoa Đức Giang là biểu hiện sinh động của nền y học lấy người bệnh làm trung tâm
Thứ Tư, ngày 18/03/2026 16:33Chiều 18/3/2026, tại Hà Nội, Bệnh viện Đa khoa Đức Giang (BVĐK) tổ chức lễ hưởng ứng Ngày Sức khỏe toàn dân năm 2026 và công bố tài trợ của Chính phủ Ireland nhằm nhân rộng mô hình "Bệnh viện...
Thứ trưởng Bộ Y tế Nguyễn Thị Liên Hương: Tăng cường thực thi hiệu quả Công ước quốc tế về quyền người khuyết tật
Thứ Tư, ngày 18/03/2026 16:08Chiều 18/3/2026, tại trụ sở Bộ Y tế, PGS.TS Nguyễn Thị Liên Hương chủ trì cuộc họp bàn về hoàn thiện hồ sơ dự thảo Kế hoạch tăng cường thực thi hiệu quả Công ước về quyền người khuyết tật và các ...
Thứ trưởng Bộ Y tế Đỗ Xuân Tuyên: Sửa đổi Luật An toàn thực phẩm nhằm giải quyết kịp thời các hạn chế, vướng mắc, bất cập trong các quy định của Luật
Thứ Tư, ngày 18/03/2026 16:01Sáng 18/3/2026, tại trụ sở Bộ Y tế, Thứ trưởng Bộ Y tế Đỗ Xuân Tuyên chủ trì cuộc họp với Tổ soạn thảo nhằm rà soát, tiếp thu, hoàn thiện Hồ sơ chính sách Luật An toàn thực phẩm (sửa đổi). ...
Bộ trưởng Bộ Y tế Đào Hồng Lan tiếp và làm việc với Chủ tịch khu vực châu Á - Thái Bình Dương của MSD
Thứ Tư, ngày 18/03/2026 10:03Sáng 18/3/2026, tại trụ sở Bộ Y tế, Ủy viên Ban Chấp hành Trung ương Đảng, Bộ trưởng Bộ Y tế Đào Hồng Lan đã tiếp và làm việc với TS Andrew Otoo, Chủ tịch khu vực châu Á - Thái Bình Dương của...
Thứ trưởng Thường trực Bộ Y tế Vũ Mạnh Hà: Nêu gương trách nhiệm người đứng đầu trong triển khai vị trí việc làm và đánh giá, xếp loại công chức
Thứ Tư, ngày 18/03/2026 09:53Sáng 18/3/2026, tại trụ sở Bộ Y tế, Ủy viên Dự khuyết Ban Chấp hành Trung ương Đảng, Thứ trưởng Thường trực Bộ Y tế Vũ Mạnh Hà chủ trì cuộc họp triển khai Nghị định số 335/2025/NĐ-CP ngày...
Bộ Y tế họp bàn về chế độ phụ cấp đặc thù trong lĩnh vực y tế; hỗ trợ hằng tháng đối với nhân viên y tế thôn, tổ dân phố và cô đỡ thôn, bản
Thứ Ba, ngày 17/03/2026 16:42Chiều 17/3/2026, tại trụ sở Bộ Y tế, TS.BS Vũ Mạnh Hà, Ủy viên Dự khuyết Ban chấp hành Trung ương Đảng, Thứ trưởng Thường trực Bộ Y tế chủ trì cuộc họp bàn về giải pháp đảm bảo nguồn lực khi thực...
Thứ trưởng Bộ Y tế Đỗ Xuân Tuyên: Sớm hoàn thiện văn bản pháp luật hướng dẫn triển khai Luật Dân số, góp phần giải quyết những thách thức mới về dân số
Thứ Ba, ngày 17/03/2026 16:28Chiều 17/3/2026, tại trụ sở Bộ Y tế, Thứ trưởng Bộ Y tế Đỗ Xuân Tuyên chủ trì cuộc họp với Tổ soạn thảo và nhóm Biên tập xây dựng Nghị định Quy định chi tiết một số Điều và biện pháp tổ chức,...
Xuất bản thông tin
Cứu sống người đàn ông nhồi máu cơ tim cấp dị dạng động mạch vành hiếm gặp
23/03/2026 | 19:59 PM
Sau khi bị ngã đập thành ngực xuống đất, người đàn ông 66 tuổi ở Quảng Ninh được phát hiện nhồi máu cơ tim cấp dị dạng động mạch vành hiếm gặp. Bệnh nhân nhanh chóng được đội ngũ y, bác sĩ Bệnh viện Bãi Cháy cấp cứu thành công.
Đại diện Bệnh viện Bãi Cháy (Quảng Ninh) cho biết, mới đây các bác sĩ của đơn vị kịp thời cứu sống bệnh nhân nhồi máu cơ tim cấp trong tình trạng đặc biệt hiếm gặp. Đáng chú ý, động mạch vành phải của người bệnh xuất phát bất thường từ bên trái và xuất hiện biến chứng trong quá trình can thiệp mạch vành.
Theo thông tin, trước khi nhập viện cấp cứu, bệnh nhân nam P.V.T (66 tuổi, trú tại phường Bãi Cháy, tỉnh Quảng Ninh) bị ngã đập thành ngực xuống đất. Khi đi khám, bệnh nhân được phát hiện rạn xương sườn và dùng thuốc giảm đau, nhưng tình trạng đau ngực không thuyên giảm.
Hình ảnh trước khi can thiệp.
Sau 3 ngày điều trị, cơn đau ngực trái của bệnh nhân ngày càng tăng nên gia đình người bệnh đến Bệnh viện Bãi Cháy cấp cứu.
Thời điểm nhập viện, bệnh nhân trong tình trạng đau ngực dữ dội. Kết quả xét nghiệm cho thấy men tim tăng cao gấp hơn 100 lần so với bình thường – dấu hiệu điển hình của nhồi máu cơ tim cấp.
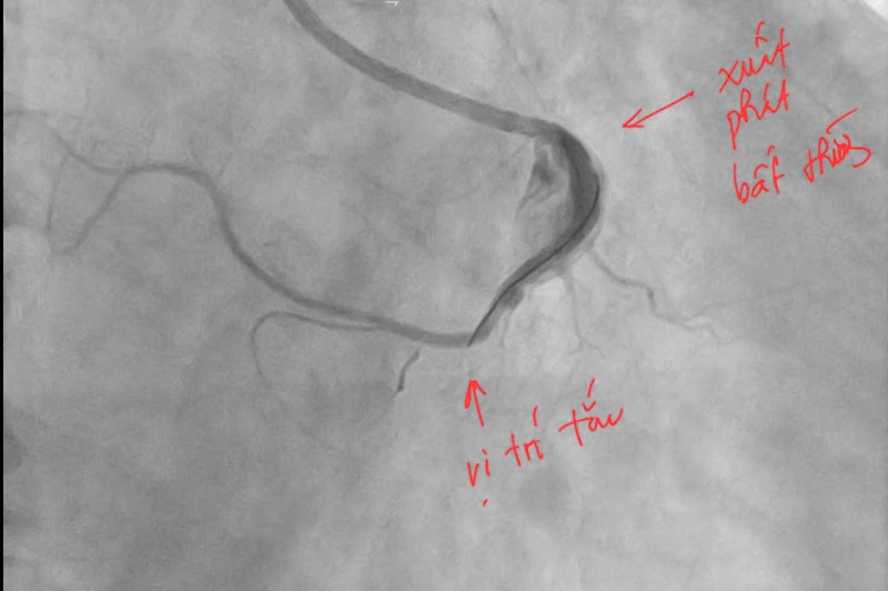
Ngay lập tức, bệnh nhân được kích hoạt quy trình cấp cứu tim mạch và chuyển đến phòng can thiệp mạch vành khẩn cấp. Kết quả chụp mạch vành cho thấy, bệnh nhân bị tắc hoàn toàn động mạch vành phải đoạn 2. Đáng chú ý, động mạch vành phải của người bệnh có vị trí xuất phát bất thường từ xoang vành trái của động mạch chủ – một dạng dị dạng hiếm gặp khiến việc tiếp cận và can thiệp trở nên phức tạp hơn nhiều so với các trường hợp thông thường.
Ê kíp can thiệp do Ths.BS Đinh Danh Trình – Trưởng khoa Tim mạch, Bệnh viện Bãi Cháy cùng các bác sĩ đã thực hiện nhiều thao tác kỹ thuật phức tạp để lái ống thông, đưa dây dẫn và bóng qua vị trí tổn thương. Sau khi tiếp cận được vị trí tắc nghẽn, các bác sĩ tiến hành đặt stent phủ thuốc nhằm tái thông dòng máu nuôi cơ tim.
Ths.BS Đinh Danh Trình – Trưởng khoa Tim mạch, Bệnh viện Bãi Cháy cùng các bác sĩ đang tiến hành can thiệp cho bệnh nhân.
Tuy nhiên, ngay sau khi đặt stent, bệnh nhân xuất hiện tình trạng No-Reflow (lòng mạch đã được mở nhưng dòng máu vẫn không lưu thông hiệu quả do co thắt vi mạch hoặc tổn thương vi tuần hoàn). Đây là một biến chứng nguy hiểm trong can thiệp mạch vành, có thể khiến cơ tim tiếp tục bị thiếu máu và làm tăng nguy cơ tử vong nếu không xử trí kịp thời.
Lúc này ê kíp can thiệp đã nhanh chóng triển khai nhiều biện pháp xử trí, trong đó có tiêm trực tiếp thuốc giãn mạch vào lòng động mạch vành nhằm giảm co thắt và cải thiện vi tuần hoàn. Sau khi xử trí tích cực, dòng chảy mạch vành đã được khôi phục, giúp ổn định tình trạng cho người bệnh.
Đến hôm sau, tình trạng sức khỏe bệnh nhân ổn định, tỉnh táo, giảm đau ngực, các chỉ số sinh tồn ổn định: mạch 69 lần/phút, huyết áp 120/80 mmHg, SpO₂ 99%, lượng nước tiểu đạt 3 lít trong 13h.
Bệnh nhân P.V.T được cứu sống nhờ can thiệp mạch kịp thời.
Chia sẻ về ca bệnh, Ths.BS Đinh Danh Trình cho hay, trường hợp nhồi máu cơ tim cấp có nhiều yếu tố phức tạp. Bệnh nhân vừa có dị dạng động mạch vành hiếm gặp, vừa xuất hiện biến chứng sau đặt stent. Dị dạng động mạch vành khiến việc tiếp cận tổn thương khó khăn hơn so với các ca can thiệp thông thường, đòi hỏi bác sĩ phải lựa chọn loại ống thông phù hợp và thao tác rất chính xác.
Nếu không xử trí kịp thời biến chứng, bệnh nhân có thể tiếp tục thiếu máu cơ tim, dẫn đến suy tim, rối loạn nhịp nguy hiểm hoặc tử vong.
(Nguồn: suckhoedoisog.vn)
Tin liên quan
- Cùng chung tay vì một Thủ đô không còn bệnh lao
- Bệnh zona ẩn mình trong cơ thể: Người có bệnh mạn tính đối mặt rủi ro cao
- TPHCM ghi nhận ca nhiễm não mô cầu liên quan tới ổ dịch tại Phú Quốc
- Sắp xếp lại hệ thống y tế công lập: Tập trung nguồn lực cho các bệnh viện đầu ngành
- Chương trình hành động của Chính phủ thực hiện Nghị quyết Đại hội đại biểu toàn quốc lần thứ XIV của Đảng
- Thứ trưởng Bộ Y tế Đỗ Xuân Tuyên: Cùng với tăng cường kiểm tra, giám sát, hậu kiểm cần đẩy mạnh truyền thông chính sách về an toàn thực phẩm


