Người trẻ không chủ quan với những dấu hiệu của bệnh dị dạng mạch máu não
18/01/2025 | 14:00 PM
Bác sĩ cảnh báo tình trạng dị dạng mạch máu não từ những triệu chứng thường xuyên bị đau đầu, đột ngột nói khó, giảm thị lực, tê hoặc yếu tay chân,…
| |
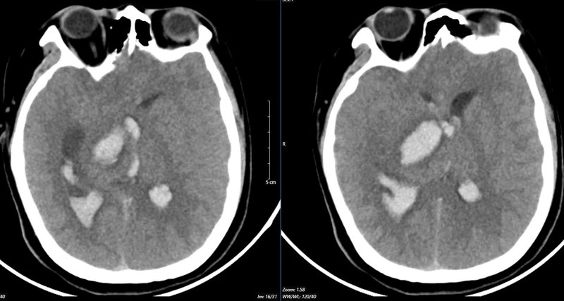
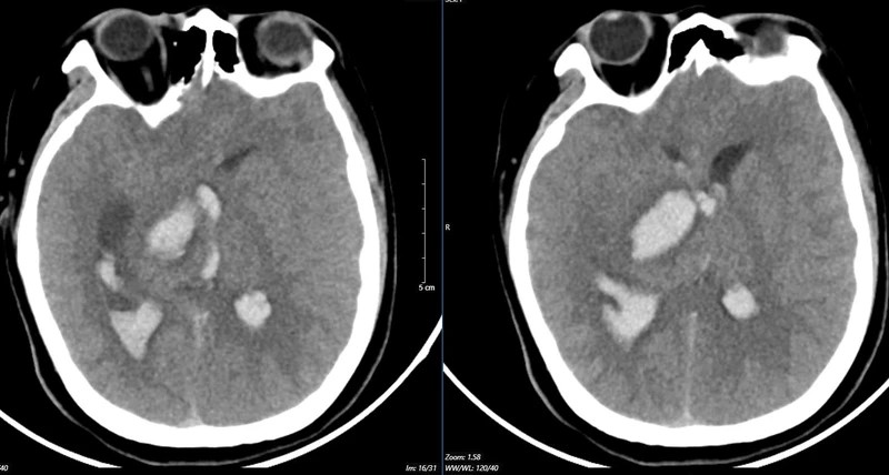
Kết quả chụp lại phim MSCT mạch não chảy máu não đồi thị - não thất do vỡ khối AVM của bệnh nhân 15 tuổi. |
Bệnh nhân 15 tuổi đến viện vì đột ngột đau đầu dữ dội. Bệnh nhi nhanh chóng rơi vào tình trạng hôn mê. Bệnh viện tuyến dưới tiếp nhận chẩn đoán bệnh nhi bị chảy máu não, lập tức được đặt ống nội khí quản thở máy và nhanh chóng chuyển ngay đến Bệnh viện Bạch Mai.
Bệnh nhân vào Trung tâm Đột quỵ, Bệnh viện Bạch Mai trong tình trạng hôn mê sâu, Glasgow 5 điểm, thở máy, giãn đồng tử bên phải. Kết quả chụp lại phim MSCT mạch não chảy máu não đồi thị - não thất do vỡ khối AVM (dị dạng thông động- tĩnh mạch não) biến chứng giãn não thất cấp, rối loạn thân nhiệt, sốt cao liên tục 39-40 độ C.
Theo các bác sĩ, khối dị dạng mạch não tuy không quá lớn nhưng ở vị trí cực kỳ nguy hiểm. Mặc dù đã được hồi sức tích cực tại Trung tâm Đột quỵ nhưng tình trạng diễn biến nhanh, bệnh nhân tụt huyết áp, thiểu niệu, rối loạn thân nhiệt, hôn mê sâu Glasgow 3 điểm.
Sau 2 ngày điều trị, khi được bác sĩ giải thích không còn khả năng cứu chữa, gia đình đưa bệnh nhi về và bệnh nhi đã tử vong sau đó.
Trường hợp thứ hai là người bệnh 19 tuổi, chưa phát hiện bệnh lý gì trước đó, đến Trung tâm Đột quỵ, Bệnh viện Bạch Mai vào những ngày đầu năm 2025 trong tình trạng co giật, hôn mê sâu, Glasgow 6 điểm, thở máy qua ống nội khí quản, liệt tứ chi.
Kết quả chụp phim MSCT mạch não của bệnh nhân cho thấy chảy máu não thùy đỉnh chẩm bên trái và não thất - phù não lan toả do vỡ ổ dị dạng AVM thuỳ đỉnh chẩm trái (điểm Spetzler- Martin 3 điểm).
Bệnh nhân đã được phẫu thuật hút khối máu tụ và lấy ổ dị dạng mạch não. Hiện tại, bệnh nhân vẫn đang điều trị tích cực tại khoa Hồi sức Ngoại, tiên lượng khả năng hồi phục hạn chế.
Nữ bệnh nhân 29 tuổi, tiền sử khoẻ mạnh. Bệnh nhân đến viện vì đột ngột đau đầu, tê tay, nôn nhiều vật vã. Tại bệnh viện tỉnh, bệnh nhân được chẩn đoán chảy máu não, các bác sĩ đã đặt ống nội khí quản thở máy rồi chuyển tuyến lên Trung tâm Đột quỵ, Bệnh viện Bạch Mai trong tình trạng ý thức hôn mê, Glasgow 6 điểm, thở máy, đồng tử bên phải giãn 4mm, tụt huyết áp, duy trì vận mạch.
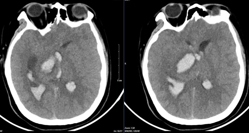
Kết quả chụp MSCT mạch não cho thấy chảy máu não thuỳ đỉnh phải, chảy máu não thất do vỡ AVM ( điểm Spetzler Martin 2 điểm). Bệnh nhân đã được phẫu thuật lấy máu tụ và khối dị dạng. Tuy được điều trị tích cực nhưng di chứng để lại vô cùng nặng nề. Sau một tháng điều trị, bệnh nhân chưa nhận thức được, liệt hoàn toàn nửa người trái…
| |
Hình ảnh chụp MSCT mạch não: Chảy máu não thuỳ đỉnh phải, chảy máu não thất do vỡ AVM ( điểm Spetzler Martin 2 điểm) của bệnh nhân nữ, 29 tuổi. |
Bác sĩ Lê Tuấn Anh, Trung tâm Đột quỵ, Bệnh viện Bạch Mai cho biết, dị dạng thông động tĩnh mạch não (AVMs- Arteriovenous malformations) là một dị tật phát triển của hệ thống mạch máu trong đó các động mạch nuôi được kết nối trực tiếp với mạng lưới tĩnh mạch dẫn lưu mà không qua hệ thống mao mạch.
Trong khối dị dạng, thành động mạch thường mỏng hơn, tĩnh mạch giãn rộng do lưu lượng máu cao, không được điều tiết, nguy cơ có thể vỡ bất cứ lúc nào gây chảy máu não, tăng áp lực nội sọ, co giật, suy giảm ý thức, thậm chí tử vong nhanh chóng. Chính bởi vậy, dị dạng mạch máu não rất nguy hiểm, lại thường xảy ra ở người trẻ tuổi, không có sự khác biệt về giới tính.
Thông thường, bệnh chỉ được phát hiện khi dị dạng mạch vỡ thì sự đã rồi. Đôi khi, người bệnh được phát hiện sớm vì tình cờ đi chụp chiếu kiểm tra. Về dấu hiệu nhận biết, bác sĩ Tuấn Anh cho hay: Nếu dị dạng mạch não chưa vỡ, tuỳ vị trí của khối dị dạng có thể xuất hiện một số triệu chứng không đặc hiệu như: đau đầu, chóng mặt, tê bì yếu tay chân hoặc động kinh.
Nếu dị dạng mạch não vỡ, các triệu chứng có thể từ nhẹ đến nặng phụ thuộc vào bản thân khối dị dạng và thể tích máu tụ, từ đau đầu, buồn nôn, nôn vọt, liệt nửa người, lú lẫn đến hôn mê sâu, thậm chí tử vong nhanh chóng do tụt kẹt não. Tỉ lệ tử vong khi vỡ AVM ước chừng 10-15%, khoảng 50% số bệnh nhân sẽ để lại di chứng về sau.
Vì thế, bác sĩ khuyến cáo, mọi người nên đi kiểm tra khi có một hoặc các dấu hiệu: Đau đầu, chóng mặt, tê bì hoặc liệt nửa người, co giật. Các trường hợp nặng rối loạn ý thức đột ngột nên đến viện ngay lập tức.
Nguồn: nhandan.vn
Tin liên quan
- Mở rộng quyền lợi chăm sóc sức khỏe và giảm chi phí y tế cho người dân
- Bụi mịn xâm nhập cơ thể con người một cách thầm lặng, làm gì để bảo vệ sức khỏe?
- Đảm bảo cung ứng đầy đủ các vắc xin trong Chương trình Tiêm chủng mở rộng
- Viện Kiểm định Quốc gia Vắc xin và Sinh phẩm Y tế tổng kết công tác giám sát, hậu kiểm vắc xin, sinh phẩm y tế và thiết bị chẩn đoán in vitro năm 2025
- Quốc hội khóa XV – Đổi mới thể chế, đồng hành với Nhân dân và mở đường cho kỷ nguyên mới
- Viện Kiểm định Quốc gia Vắc xin và Sinh phẩm Y tế Hội thảo khoa học: “Ứng dụng công nghệ sản xuất vắc xin – Nâng cao hiệu quả phòng bệnh”
- Kỳ họp Quốc hội thứ 10: Đột phá thể chế, an sinh xã hội và chiến lược sức khỏe toàn dân

