Thành tựu y học
Đưa trái tim vượt 1.600 km cứu sống bé trai 9 tuổi trong cuộc ghép tạng xuyên Việt
Thứ Tư, ngày 03/12/2025 03:13Một trái tim hiến tặng được vận chuyển hơn 1.600 km từ Hà Nội vào TPHCM trong “cuộc đua với tử thần”, mang theo hy vọng sống cho bé trai 9 tuổi bị suy tim giai đoạn cuối. Ca ghép tim xuyên Việt...
Đặt điện cực định vị vùng chức năng trong phẫu thuật u thần kinh đệm lan tỏa
Thứ Tư, ngày 03/12/2025 00:21Lần đầu tiên tại Bệnh viện Hữu nghị Việt Đức, ê-kíp áp dụng kỹ thuật đặt điện cực theo dõi chức năng liên tục trong lúc bệnh nhân mắc u thần kinh đệm nhu mô não kích thước lớn được gây...
Phối hợp đa chuyên khoa, nối lại bàn tay cho sản phụ mang song thai thành công
Thứ Tư, ngày 03/12/2025 00:14Bệnh viện Đa khoa Bình Dương nối thành công bàn tay cho sản phụ mang song thai 34 tuần, đảm bảo an toàn cho cả mẹ và hai thai nhi nhờ kỹ thuật vi phẫu tinh vi và phối hợp đa chuyên khoa. ...
Nối lại bàn tay cho thai phụ mang song thai 34 tuần
Thứ Hai, ngày 01/12/2025 11:20Bệnh viện đa khoa Bình Dương vừa thực hiện thành công một ca phẫu thuật đặc biệt và giàu tính nhân văn khi nối lại bàn tay phải cho người bệnh đang mang song thai 34 tuần. Sau...
Kỳ tích nuôi dưỡng trẻ sinh cực non chỉ 640 gram tại Bệnh viện Hùng Vương
Thứ Bẩy, ngày 29/11/2025 09:49Sau 97 ngày, các bác sĩ đã điều trị thành công cứu bé gái sinh non ở tuần 23 với cân nặng chỉ 640 gram. Ngày 28-11, Bệnh viện Hùng Vương (TP HCM) cho biết sau 97 ngày tận tâm điều trị, các...
Thực hiện thành công ca ghép gan không cùng nhóm máu ở người lớn
Thứ Năm, ngày 27/11/2025 05:02Trong những ngày cuối tháng 11, Bệnh viện Trung ương Quân đội (TWQĐ) 108 tiếp tục ghi dấu một bước tiến quan trọng trong lĩnh vực ghép tạng khi thực hiện thành công ca ghép gan bất đồng nhóm máu...
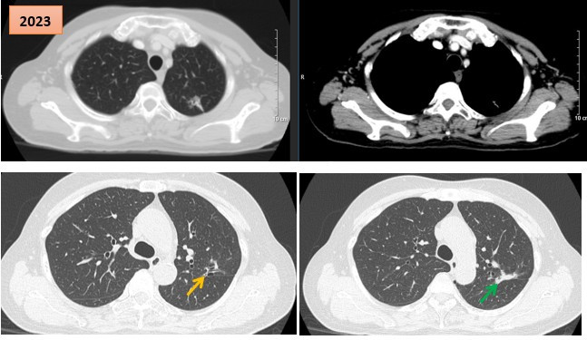
Hút huyết khối tĩnh mạch não cứu sống nam thanh niên 19 tuổi mắc bệnh lý hiếm gặp
Thứ Năm, ngày 27/11/2025 04:57Nam bệnh nhân mắc bệnh lý hiếm gặp và nặng đối diện với nguy cơ tổn thương não và di chứng thần kinh nếu không được xử trí kịp thời. Các bác sĩ Khoa Chẩn đoán hình ảnh – Bệnh viện...
Bệnh viện Đa khoa Kiên Giang triển khai thành công bóng phá vôi cơ học LithiX HC trên bệnh nhân 95 tuổi – ca đầu tiên tại Đồng bằng sông Cửu Long
Thứ Tư, ngày 26/11/2025 10:59Bệnh viện Đa khoa tỉnh Kiên Giang chính thức trở thành cơ sở y tế đầu tiên tại khu vực Đồng bằng sông Cửu Long triển khai thành công can thiệp mạch vành vôi hóa nặng bằng bóng phá vôi IVL cơ học...
Bệnh nhi 3 tuổi ở Hà Nội hồi sinh nhờ lá gan hiến từ người cho chết não ở Cần Thơ
Thứ Bẩy, ngày 22/11/2025 13:18Bệnh nhi 3 tuổi mắc teo đường mật bẩm sinh, suy gan giai đoạn cuối chỉ còn thời gian sống ngắn ngủi đã được hồi sinh từ lá gan hiến từ người cho chết não tại Bệnh viện đa khoa Trung...
Bệnh viện Đa khoa tỉnh Thanh Hóa thực hiện thành công kỹ thuật thay van động mạch chủ qua da
Thứ Sáu, ngày 21/11/2025 02:41Bệnh viện Đa khoa tỉnh Thanh Hóa vừa thực hiện thành công thay van động mạch chủ qua da cho bệnh nhân đầu tiên, đánh dấu một bước tiến lớn trong chuyên ngành tim mạch của Thanh Hoá. ...
Chạy đua 24 giờ vận chuyển tạng từ nam ra bắc cứu người
Chủ Nhật, ngày 16/11/2025 08:37Ngày 14/11, Bệnh viện đa khoa Trung ương Cần Thơ thông tin về sự hỗ trợ của Trung tâm điều phối ghép tạng quốc gia cùng với Bệnh viện Chợ Rẫy, Bệnh viện Trung ương Quân đội 108, Bệnh...
Hưng Yên: Cứu sống bệnh nhân sốc mất máu do vỡ nang buồng trứng ngay tại trạm y tế xã
Thứ Năm, ngày 13/11/2025 09:54Trưa 12/11, một nữ bệnh nhân trên 20 tuổi rơi vào tình trạng nguy kịch, vỡ nang buồng trứng gây sốc mất máu nặng tại trạm y tế xã Quang Lịch (tỉnh Hưng Yên), sau đó đã được các bác sĩ Bệnh...
Lần đầu tiên phẫu thuật mở lồng ngực cấp cứu người ngay trên đảo
Thứ Tư, ngày 12/11/2025 07:34Lịch sử y học biển đảo vừa ghi nhận một ca phẫu thuật đặc biệt khi các bác sĩ mở lồng ngực ngay tại quần đảo Trường Sa để cứu nam công nhân trong tình trạng nguy cấp. Giữ lại sự sống...
Lần đầu tiên, Bệnh viện Phổi Trung ương thực hiện hai ca ghép phổi trong một ngày
Thứ Tư, ngày 12/11/2025 06:07Chiều ngày 11/11/2025, Bệnh viện Phổi Trung ương tổ chức gặp mặt báo chí thông tin: Trong một ngày, Bệnh viện Phổi Trung ương đã phối hợp với các chuyên gia và các bệnh viện: Trung tâm Điều phối...
Bộ Y tế cấp giấy đăng ký lưu hành tại Việt Nam cho thuốc chống ung thư của Nga
Thứ Ba, ngày 11/11/2025 12:36Trong quyết định mới nhất, Cục Quản lý Dược, Bộ Y tế đã cấp giấy đăng ký lưu hành tại Việt Nam cho một loại thuốc chống ung thư có tên Pembroria do Nga sản xuất cùng với 13 loại vắc xin, sinh...
Việt Nam triển khai thử nghiệm lâm sàng vaccine sốt xuất huyết mới
Chủ Nhật, ngày 09/11/2025 01:38Việt Nam chính thức triển khai thử nghiệm lâm sàng giai đoạn 3 vaccine phòng sốt xuất huyết V181 với sự tham gia của 4.000 trẻ em và thanh thiếu niên tại Đồng Tháp, An Giang và Đà Nẵng. ...
Phẫu thuật bằng robot chữa khỏi ung thư tiền liệt tuyến
Thứ Năm, ngày 06/11/2025 08:02Sau khi phẫu thuật ung thư tuyến tiền liệt bằng robot, người đàn ông không chỉ thoát khỏi ung thư mà còn giữ được khả năng sinh lý bình thường. Đây là bước tiến của y học trong điều trị ung thư...
Những người khâu lại niềm tin và hi vọng
Thứ Hai, ngày 03/11/2025 03:34Tạo hóa, xét cho cùng là bất toàn, bởi chứng thực rõ ràng là ở những con người khi chào đời lại khiếm khuyết trên cơ thể. Nhưng sẽ xót xa hơn, chính trò chơi đó của tạo hóa lại bày trên mặt...
Ghép tạng tại Việt Nam: Từ 'người đi học' đến làm chủ kỹ thuật
Chủ Nhật, ngày 02/11/2025 03:05Từ ca ghép tạng đầu tiên (ghép thận) của Việt Nam thực hiện năm 1992 với sự hỗ trợ của chuyên gia nước ngoài, thì đến nay, sau hơn 20 năm, Việt Nam đã hoàn toàn làm chủ được kỹ thuật khó này,...
Bác sĩ Bệnh viện K: Ung thư được phát hiện kịp thời, tỷ lệ chữa khỏi có thể lên đến 90%
Thứ Năm, ngày 30/10/2025 16:12Các chuyên gia Bệnh viện K cho biết nếu bệnh ung thư được phát hiện kịp thời, tỉ lệ chữa khỏi có thể lên đến 90%. Con số ấy không chỉ là thống kê, mà là cơ hội, là hy vọng để những người bệnh có...